• Català   Español   English
  • Inicio
  • Tratamientos
  • La Clínica
  • El equipo
  • Contacto
Cabratosa Odontología - Odontología integral a Girona: implantología, estética dental y salud dental
  • Inicio
  • Tratamientos
  • La Clínica
  • El equipo
  • Contacto
  • Català  |  Español  |  English
+34 972 221 407+34 972 221 407
Inicio > Tratamientos
  • Tratamientos y servicios odontológicos en Girona

    En Cabratosa Odontología ofrecemos una amplia gama de tratamientos dentales personalizados en Girona para garantizar la salud, la funcionalidad y la estética de tu boca. Trabajamos con la tecnología más avanzada y con un equipo altamente cualificado en diferentes especialidades, desde la prevención hasta las soluciones más complejas. Ya sea para una revisión rutinaria o para un tratamiento de implantología, ortodoncia, estética dental o cirugía oral, estamos preparados para ofrecerte un servicio de calidad, cercano y de confianza.
  • Tratamientos y servicios odontológicos en Girona
  • Odontología general y preventiva
    Odontología general y preventiva

    La base de una buena salud bucodental es la prevención.
    Los problemas dentales más comunes son la caries dental y la enfermedad de las encías. Todas estas enfermedades están causadas por bacterias que se encuentran en la placa dental, que es una capa pegajosa que se forma en los dientes. La caries es la destrucción del diente por los ácidos de estas bacterias. Para prevenirla es muy importante una buena higiene dental y controlar la dieta.
    Las enfermedades de las encías están causadas por la placa y el sarro. Para prevenirlas y tratarlas es necesario controlar y eliminar la placa y el sarro mediante buenos hábitos de higiene y mantenimientos periódicos.

    Más información
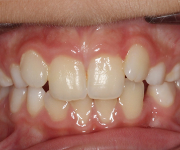
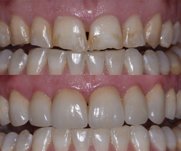
  • Estética dental y restauradora
    Estética dental y restauradora

    La estética dental busca una sonrisa bonita y saludable. Hay tratamientos enfocados a la belleza, como el blanqueamiento o las carillas, que también deben cuidar la función y la salud de los dientes.
    Gracias a materiales como el composite dental, las nuevas cerámicas y técnicas mínimamente invasivas, podemos realizar restauraciones estéticas siendo lo más conservadores posible. También evitamos los antiguos empastes oscuros (amalgama) y podemos llevar a cabo tratamientos que mejoran tu sonrisa de forma segura y eficaz.

    Más información
  • Implantes dentales
    Implantes dentales

    Los implantes dentales son como “raíces” artificiales, fabricadas con titanio, que se colocan en el hueso de los maxilares. Sirven para soportar dientes postizos fijos, sustituyendo los dientes perdidos.
    Hoy en día los implantes son una de las mejores opciones porque no requieren tratar los dientes vecinos, ofreciendo así una solución muy estable y cómoda. Para poder colocarlos es necesario disponer de hueso suficiente, pero si no lo hay, se puede regenerar quirúrgicamente. Después de colocarlos, es necesario esperar unos meses para que se integren bien en el hueso antes de instalar la prótesis definitiva.
    Cada caso se valora de forma individual, con radiología 3D y planificación digital, para garantizar un resultado seguro y adaptado a las necesidades de cada paciente.

    Más información
  • Prótesis dentales
    Prótesis dentales

    Para la sustitución de dientes perdidos o muy dañados, disponemos de dos categorías de prótesis: las removibles y las fijas.
    Las prótesis removibles son una opción más sencilla, pero requiere que la prótesis sea retirada para su limpieza después de cada comida. También es importante considerar la estética, ya que en algunos casos los ganchos de sujeción pueden ser visibles.
    Las prótesis fijas se integran de forma permanente en la boca y no pueden ser retiradas por el paciente. Pueden ser sobre implantes o sobre dientes, en función de las características del caso.

    Más información
  • Ortodoncia
    Ortodoncia

    La ortodoncia es el tratamiento que corrige la posición de los dientes para mejorar su función y su estética. Se aplica tanto a niños y adolescentes como a adultos.
    Puede ser fija, con el sistema de brackets metálicos o cerámicos; o removible, con el sistema de alineadores invisibles o aparatos de resina.
    Es necesario realizar un estudio personalizado para decidir cuál es la mejor opción para cada paciente.

    Más información
  • Periodoncia
    Periodoncia

    La periodoncia actúa sobre la prevención, el diagnóstico y el tratamiento de las enfermedades que afectan a las encías y al hueso que rodea dientes e implantes.
    Mediante diagnósticos periodontales completos, limpiezas profundas y raspados dentales, se puede realizar un seguimiento personalizado para mantener controladas las patologías y preservar las estructuras de soporte de la boca.

    Más información
  • Odontopediatria
    Odontopediatria

    El cuidado de la salud bucodental de los niños, con tratamientos adaptados a cada etapa del crecimiento, ayudan a su concienciación de los dientes y las encías desde bien pequeños, reforzando así su confianza.
    Es aconsejable que los niños visiten el dentista a partir de los 2,5 años o, como máximo, a los 4-5. A partir de los 6 años, aparece la primera muela definitiva, que a veces pasa desapercibida.
    El objetivo principal es la prevención de caries y otros problemas, mediante una buena higiene, dieta y tratamientos como el flúor. Además, es importante cuidar de los dientes de leche, ya que ayudan a mantener el espacio para la correcta salida de los dientes permanentes

    Más información
  • Cirugía oral
    Cirugía oral

    La cirugía oral comprende las técnicas quirúrgicas realizadas a nivel de la cavidad oral, como pueden ser: extracciones de muelas del juicio o de dientes incluidos, quistes, frenectomías, apicectomías y cirugía periimplantaria. Estas intervenciones se realizan generalmente con anestesia local, aunque en ocasiones se puede aplicar sedación con un anestesista.
    Cada caso se valora de forma individual junto con el equipo interdisciplinario para obtener el mejor resultado en cada situación.

    Más información
  • Endodoncia
    Endodoncia

    La endodoncia es el tratamiento que elimina la pulpa dental (“nervio”), una parte interna del diente que puede causar dolor o infección. La causa principal es la caries, pero también puede deberse a un empaste profundo, una fisura por sobrecarga o por problemas de encía. Si la pulpa está dañada, puede provocar infecciones o pérdida de hueso.
    El procedimiento consiste en abrir el diente, limpiar y desinfectar su interior y, finalmente, sellarlo de forma provisional; unos días después, se repara de manera definitiva. De esta forma se prolonga la funcionalidad de la pieza.  

    Más información
  • Trastornos temporomandibulares (ATM)
    Trastornos temporomandibulares (ATM)

    Los trastornos temporomandibulares son afecciones de los músculos faciales y/o de las articulaciones temporomandibulares (ATM). Estos problemas pueden provocar: dolor constante o intermitente en la cara, la cabeza o cerca del oído, dificultad para abrir la boca o sonidos al moverla.
    La causa a menudo es difícil de determinar, pero se relaciona con factores como el estrés, el bruxismo (acción involuntaria de rechinar o apretar los dientes) o traumatismos.
    El tratamiento más frecuente incluye cambios de hábitos, el uso de férulas oclusales y, en muchos casos, fisioterapia.

    Más información
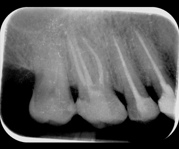
  • Radiología digital 2D y 3D
    Radiología digital 2D y 3D

    La radiología digital permite obtener imágenes precisas y de alta calidad para el diagnóstico con una baja exposición a la radiación.
    Gracias a las radiografías periapicales, las ortopantomografías y las tomografías 3D (CBCT), se pueden planificar tratamientos y realizar diagnósticos más precisos.

    Más información
  • Sedación consciente
    Sedación consciente

    La sedación consciente es un procedimiento médico que combina un relajante con anestesia local para hacer las intervenciones quirúrgicas más cómodas para el paciente. La realiza un médico anestesista que monitoriza al paciente en todo momento.
    Durante el procedimiento, el paciente está relajado y somnoliento, pero consciente. Después de aproximadamente una hora, puede regresar a casa, aunque debe evitar conducir o consumir alcohol durante el resto del día.

    Más información
  • Odontología del sueño
    Odontología del sueño

    Los ronquidos y las apneas del sueño pueden tener consecuencias graves para la salud general.
    Como odontólogos, podemos ayudar de manera interdisciplinaria a mantener la vía aérea abierta durante el sueño y mejorar su calidad y el bienestar general realizando unos dispositivos de avance mandibular personalizados (férulas).

    Más información
  • Cabratosa Odontología - Odontología integral a Girona: implantología, estética dental y salud dental
  • CABRATOSA ODONTOLOGIA Carrer Baldiri Reixac, 10
    17003 Girona
    Tel. +34 972 221 407
  • HORARIO DE RECEPCIÓN de lunes a viernes
    de 9:00 a 14:00 h y
    de 15:00 a 19:00 h
  • © 2026 CABRATOSA ODONTOLOGIA |  Aviso legal  |  Política de privacidad  |  Política de cookies  |  Panel de cookies